Arthroscopic Ankle Fusion Cases
Case 1 - Pre-op, 6 months post-op
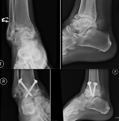
Case 2 - Pre-op, 2 years post-op

Case 3 - Pre-op, 3 months post-op

Case 4 - Pre-op, 1 year post-op

Case 5 - Pre-op, 1 year post-op

Case 6 - Pre-op, 9 months post-op

Case 7 - Pre-op, 2 years post-op

Case 8 - Pre-op, 7 months post-op

Case 9 - Pre-op, 2 years post-op

Case 10 - Pre-op, 6 months post-op

Case 11 - Pre-op, 6 months post-op

Case 12 - Pre-op, 8 months post-op

Case 13 - Pre-op, 8 months post-op

Case 14 - Pre-op, 5 months post-op


Comments
Post a Comment